There have been so many technological advancements in eye care in the past few decades that your visit to the Optometrist may look completely different than it did twenty years ago. Let’s do an overview of what your eye exam might look like in 2021 at a modern optometry practice.
Booking an Appointment Is The First Step
It may be tough to find an eye exam appointment due to high demand for optometrists and long waitlists of patients. Fortunately, many eye clinics have adopted online appointment scheduling to make this process easier. Being able to book online has many advantages like avoiding phone tag with the receptionist and being able to receive text or email reminders with your appointment time. Convenience is king, right?
Are You Seeing Clearly Enough?
One of the first pieces of objective data your eye doctor needs is your visual acuity or how well you can see letters at a distance. Visual acuity used to be measured by the patient reading letters from a projected chart that was positioned twenty feet away. These charts would often fade over time and were easy for the patient to memorize since there were only a few different lines of letters. Nowadays, LCD or LED screens have largely replaced projector charts. There are several advantages to computerized acuity charts including the ability for the doctor to generate random letters sequences with nearly infinite combinations and the ability to display letters in high definition for more accurate measurements.
Which Is Better, 1 or 2?
The refraction part of the eye exam has also evolved over time, this is where your doctor figures out what prescription lenses are required to get you to see as clearly as you can. The main update has been the invention of the automatic phoropter which allows for computerized control of lens options. Rather than manually changing lenses and asking “which is better 1 or 2?,” optometrists can now simply press a button on a keypad to flip lenses as part of the subjective refraction. This also makes it much easier to quickly compare the old eyeglass prescription to the current eyeglass prescription so the patient can see the potential improvement in their vision that new glasses would provide.

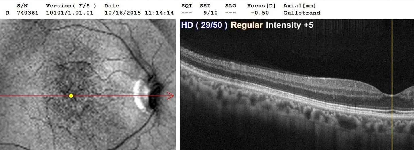
The Use of High Definition Imaging Has Enhanced Eye Care
The examination of the anterior segment (or front part) of the eye was traditionally done with a slit lamp. While the slit lamp hasn’t changed much in the past 50 years there is now the option of using digital anterior segment camera attachments which can record images of the front of the eye with amazing definition. These cameras can be connected to computers which input the images into electronic medical records. They are great for imaging corneal pathology such as dry eye disease and corneal dystrophies and allow for accurate monitoring of these conditions.
One of the biggest advancements in eye care has been the invention of wide-field retinal imaging. The market leader in this segment is the Nikon Optomap which can image seventy percent of the retina in a single scan without the need for dilating the eyes. A Surrey Optometrist using Optomap California noted much more efficient diagnosis and detection of retinal disease with the technology, especially for patients with diabetic retinopathy, macular degeneration, and retinal detachments. Another major advancement in posterior segment eye care has been Ocular Coherence Tomography or OCT. This laser based imaging technology allows for analysis of the optic nerve in glaucoma patients and imaging and analysis of all retinal layers in the posterior pole. When choosing a Surrey Eye Doctor, make sure you keep technology in mind as your future eye health might depend on it.
